TÌM HIỂU VỀ NIỀNG RĂNG TRONG SUỐT INVISALIGN
Niềng răng trong suốt hay còn được gọi là niềng răng tháo lắp, niềng răng không cố định, niềng răng không mắc cài, niềng răng vô hình. Bởi đây là kỹ thuật niềng răng tiên tiến mà khi bạn sử dụng, người đối diện khó lòng mà nhận ra.
NGUYÊN NHÂN GÂY SÂU RĂNG Ở TRẺ EM
Sâu răng là một trong những vấn đề răng miệng phổ biến nhất ở trẻ. Sâu răng không chỉ đơn thuần ảnh hưởng đến cuộc sống hằng ngày mà còn tác động đến hệ tiêu hóa, khả năng hấp thụ chất dinh dưỡng và tương lai của răng vĩnh viễn khi bé lớn lên
ĐỘ TUỔI NÀO THÌ BỌC RĂNG SỨ ĐƯỢC?
Bọc răng sứ tuy là phương pháp phục hình răng đã mất một cách hoàn hảo, nhưng không phải độ tuổi nào cũng có thể thực hiện được.
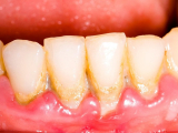
VÔI RĂNG VÀ NHỮNG ĐIỀU CẦN BIẾT
Vôi răng là nguyên nhân chính gây viêm nướu, viêm nha chu, khiến hơi thở có mùi hôi. Bạn nên thực hiện lấy vôi răng 2 lần/năm để bảo vệ sức khỏe răng miệng và phòng ngừa các bệnh lý nha khoa.
BỌC RĂNG SỨ CÓ CẦN PHẢI LẤY TỦY KHÔNG ?
Bọc răng sức có cần lấy tủy không? Điều này phụ thuộc nhiều vào tình trạng răng của bệnh nhân.
CÁCH CHĂM SÓC RĂNG SAU KHI ĐIỀU TRỊ CƯỜI HỞ LỢI
Điều trị cười hở lợi là thủ thuật di chuyển nướu lợi về gần chân răng hoặc cắt nướu nhằm đem lại nụ cười tự tin cho khách hàng. Vậy sau khi Điều trị chúng ta đã chăm sóc răng miệng đúng cách chưa. Bạn hãy cùng nha khoa Tulip giải đáp thắc mắc này nhé!
CHĂM SÓC RĂNG MIỆNG SAU KHI TẨY TRẮNG
Sau khi tẩy răng trắng xong, bạn đã biết cách chăm sóc răng miệng sau khi tẩy trắng răng chưa? Hãy cùng nha khoa TULIP tham khảo bài viết dưới đây nhé
RĂNG SỮA CỦA BÉ BỊ SÂU PHẢI LÀM SAO
Trẻ bị sâu răng sữa phải làm sao, cha mẹ nên đưa bé tới phòng khám chuyên khoa để thăm khám và có biện pháp điều trị phù hợp
RĂNG BỊ MÓM BỌC RĂNG SỨ ĐƯỢC KHÔNG
Răng móm là thuật ngữ nha khoa được dùng để mô tả sự sai lệch khớp cắn giữa răng ở hàm trên và hàm dưới khi ngậm miệng. Vậy răng móm bọc sứ được không hãy cùng Tulip tìm hiểu qua bài viết dưới đây nhé
PHỤC HÌNH RĂNG LÀ GÌ? PHƯƠNG PHÁP PHỤC HÌNH RĂNG PHỔ BIẾN HIỆN NAY
Phục hình răng là kỹ thuật khôi phục hình thể và chức năng của răng. Hãy cùng Tulip tìm hiểu về các phương pháp phục hình răng tốt nhất trong bài viết sau.








