VÌ SAO CẦN LẤY VÔI RĂNG ĐỊNH KỲ?
Cạo vôi răng là phương pháp sử dụng dụng cụ chuyên dụng để làm sạch cao răng (vôi răng) và mảng bám tích tụ ở thân răng, gốc răng. Phương pháp này được khuyến cáo thực hiện 2 lần/ năm để bảo vệ sức khỏe răng miệng và phòng ngừa các bệnh lý nha khoa.
CHÍNH SÁCH BẢO HÀNH RĂNG SỨ TẠI NHA KHOA TULIP
Chính sách bảo hành răng sứ tại Nha Khoa Tulip giúp cho khách hàng thêm tin tưởng vào chất lượng dịch vụ.
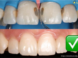
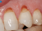
MÒN CỔ CHÂN RĂNG: NGUYÊN NHÂN VÀ CÁCH ĐIỀU TRỊ
Mòn cổ chân răng là bệnh lý hay gặp nhưng dễ bỏ qua, điều trị không khó và đạt thẩm mỹ cao nếu được phát hiện và chữa trị sớm.
CÔNG DỤNG CỦA HÀM DUY TRÌ.
Sau khi kết thúc giai đoạn điều trị niềng răng với mắc cài, hàm duy trì luôn được các nha sỹ chỉ định cho bệnh nhân sau khi niềng răng sử dụng.
RĂNG THỎ LÀ GÌ? CÓ MẤY PHƯƠNG PHÁP LÀM RĂNG THỎ.
Xu hướng làm răng thỏ ngày càng được ưa chuộng bởi nhiều người nổi tiếng trên toàn thế giới và ở ngay cả Việt Nam. Vậy có những phương pháp trồng răng thỏ nào?
RĂNG SỨ BỊ LUNG LAY PHẢI LÀM SAO ?
Răng bọc sứ bị lung lay có thể xuất phát từ dấu hiệu của các bệnh lý về viêm nha chu hoặc tủy răng nên bạn cần chú ý trước khi phục hình.
RĂNG BỊ HƯ TỔN: NGUYÊN NHÂN VÀ CÁCH ĐIỀU TRỊ
Răng của chúng ta mặc dù được bảo vệ bởi các lớp men răng có độ cứng tương đối chắc chắn nhưng vẫn có thể bị hư tổn nếu như răng bị va đập quá mạnh
BỊ TỤT NƯỚU SAU KHI BỌC RĂNG SỨ PHẢI LÀM SAO ?
Một số trường hợp sau khi bọc răng sứ lại gặp phải biến chứng không mong muốn, điển hình là tình trạng bọc răng sứ bị tụt lợi, làm hở chân răng. Không chỉ khiến răng yếu đi mà còn gây mất thẩm mỹ khuôn mặt. Vậy nguyên nhân vì sao dẫn đến biến chứng này và biện pháp khắc phục như thế nào?
RĂNG VĨNH VIỄN BỊ LUNG LAY PHẢI LÀM SAO ?
Răng lung lay có giữ được không là trăn trở của nhiều bệnh nhân đang có tình trạng răng bị viêm, cần xử lý bằng các phương pháp can thiệp. Để biết thêm về vấn đề này và hướng xử lý, bạn hãy tham khảo bài viết dưới đây.
KHI NÀO CẦN TRÁM RĂNG VÀ QUY TRÌNH TRÁM RĂNG
Trám răng là một thủ thuật nha khoa rất quen thuộc mà bất kỳ ai cũng đều sẽ nghe nói đến, vậy trám răng là gì? và khi nào nên trám răng điều trị răng miệng? Bài viết dưới đây nha khoa Tulip sẽ giúp bạn hiểu rõ hơn về kỹ thuật này nhé!








