RĂNG THƯA NÊN TRÁM HAY BỌC SỨ?
Nên trám hay bọc răng sứ? Tùy tình trạng răng của từng người, mỗi phương pháp đều có ưu điểm riêng, phù hợp với các trường hợp và nhu cầu điều trị khác nhau.
7 CÁCH GIỮ RĂNG SỨ LUÔN TRẮNG SÁNG
Để giữ cho răng sứ luôn trắng sáng và bền đẹp, bạn có thể thực hiện các cách sau đây. Những phương pháp này giúp loại bỏ vết ố, ngăn ngừa sự xỉn màu, và duy trì vẻ đẹp tự nhiên cho răng sứ.
BẢO VỆ RĂNG NHƯ THẾ NÀO SAU KHI CHỮA TỦY
Sau khi răng được điều trị tủy sẽ không còn được nuôi dưỡng nên độ bền sẽ giảm dần theo thời gian. Chính vì thế bảo vệ răng sau khi chữa tủy là điều quan trọng và cần thiết để có hàm răng bền đẹp.
BỌC RĂNG SỨ BỊ RỚT RA PHẢI LÀM SAO?
Không ít trường hợp răng sứ bị hỏng và bung rơi ra ngoài, không còn sử dụng được nữa. Vậy trường hợp này, răng sứ bị hỏng, rớt ra phải làm sao?
NHỮNG LƯU Ý KHI TRƯỚC VÀ SAU KHI TRỒNG RĂNG IMPLANT
Trồng răng Implant đang được đánh giá là một trong những bước tiến lớn của lĩnh vực Nha khoa bởi những ưu điểm vượt trội mà phương pháp này mang. Nhưng người bệnh cũng cần quan tâm những lưu ý sau sau khi trồng răng Implant để duy trì hàm răng đẹp.
BỌC RĂNG SỨ CÓ BỊ HÔI MIỆNG KHÔNG?
Làm răng sứ có bị hôi miệng không? Răng sứ hoàn toàn không phải nguyên nhân gây hôi miệng. Tình trạng này chỉ xảy ra khi chất lượng mão sứ không tốt hoặc kỹ thuật bọc không chuẩn
SAU KHI NHỔ RĂNG NÊN ĂN GÌ ĐỂ ĐỠ ĐAU, NHANH LÀNH?
Nhổ răng sẽ có nhiều ảnh hưởng đến sức khỏe của bạn, bởi vậy bạn cần phải nắm được những lưu ý sau khi nhổ răng khôn để chăm sóc tốt cho bản thân
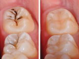
KHI NÀO CẦN TRÁM RĂNG?
Trám răng là một thủ thuật nha khoa rất quen thuộc mà bất kỳ ai cũng đều sẽ nghe nói đến, vậy trám răng là gì? và khi nào nên trám răng điều trị răng miệng? Bài viết dưới đây nha khoa Tulip sẽ giúp bạn hiểu rõ hơn về kỹ thuật này nhé!
BIỆN PHÁP CHĂM SÓC RĂNG MIỆNG ĐÚNG CÁCH
Chăm sóc răng miệng tốt giúp sở hữu một hàm răng trắng sáng, hơi thở dễ chịu và phòng ngừa các vấn đề về răng miệng cũng như các bệnh lý liên quan.
TRÁM RĂNG XONG BỊ NHỨC PHẢI LÀM SAO?
Răng trám bị nhức, ê buốt là hiện tượng thường gặp sau trám trăng thẩm mỹ đây là triệu chứng rất bình thường mà bạn không cần phải lo lắng. Tùy vào mức độ nhức, tình trạng và thời điểm mà cách khắc phục sẽ khác nhau








