RĂNG SỨ CÓ BỊ ĐỔI MÀU KHÔNG?
Răng sứ có bị đổi màu không là câu hỏi của đa số khách hàng nhằm mục đích chọn lựa cho mình một loại răng sứ tốt nhất để bọc răng sứ thẩm mỹ hàm răng đẹp hơn
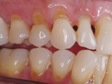
RĂNG BỊ TỤT NƯỚU PHẢI LÀM SAO?
Tụt nướu là tình trạng nướu bị tụt ra khỏi răng khiến các vùng của răng bình thường được nướu bảo vệ sẽ bộc lộ gây tăng nhạy cảm và nguy cơ sâu răng.
ĐAU QUAI HÀM: NGUYÊN NHÂN VÀ CÁCH ĐIỀU TRỊ
Thực tế đau xương hàm xuất phát từ nhiều nguyên nhân khác nhau rất khó để biết đây có phải là cảnh báo của bệnh nguy hiểm hay không. Bạn cần xác định được đúng nguyên nhân để có phương pháp điều trị phù hợp và hiệu quả
CHÍNH SÁCH BẢO HÀNH RĂNG SỨ
Chính sách bảo hành răng sứ tại Nha Khoa Tulip giúp cho khách hàng thêm tin tưởng vào chất lượng dịch vụ.
NƯỚU BỊ SƯNG PHẢI LÀM SAO ?
Nướu bị sưng gây đau nhức khó chịu, nặng hơn sẽ xuất hiện mủ gây ra nhiều ảnh hưởng nghiêm trọng cho sức khỏe răng miệng.Vậy nguyên nhân gây ra tình trạng nay là gì và điều trị như thế nào? Hãy cùng Tulip tìm hiểu qua bài viết dưới đây nhé
CHẢY MÁU CHÂN RĂNG PHẢI LÀM SAO ?
Chảy máu chân răng nếu không tìm ra nguyên nhân và cách trị có thể dẫn đến tiêu xương và mất răng. Đọc ngay vì sao chảy máu chân răng và cách chữa hiệu quả.
TẠI SAO PHẢI KHÁM RĂNG ĐỊNH KỲ?
Tại sao phải khám răng định kỳ? Lời khuyên từ nha sỹ, đó là ngoài việc chăm sóc răng miệng hàng ngày bạn cũng cần tạo thói quen thăm khám nha khoa định kỳ.
XỊT THƠM MIỆNG CÓ TỐT VÀ AN TOÀN KHÔNG?
Xịt thơm miệng có an toàn cho răng của tôi không? Việc nhanh chóng khắc phục tình trạng hôi miệng là điều cần thiết, đặc biệt nếu bạn thường xuyên đối mặt với người khác
BỌC RĂNG SỨ BAO LÂU THÌ ĂN ĐƯỢC
Bọc răng sứ bao lâu thì ăn được? Tùy cơ địa và sự thích nghi của mỗi người nhưng bạn nên tham khảo để biết được thời gian tạm thời là bao lâu.
CÁCH TRỊ NHIỆT MIỆNG NHANH KHỎI AN TOÀN
Nhiệt miệng, có thể nói là tình trạng gây cảm giác khó chịu. Cùng Tulip tìm hiểu cách trị nhiệt miệng nhanh nhất qua bài viết dưới đây nhé!








