KHÁM RĂNG ĐỊNH KỲ VÀ NHỮNG ĐIỀU CẦN BIẾT
Khám răng định kỳ rất cần thiết để cập nhật sức khỏe răng miệng, phát hiện sớm các bệnh răng miệng nguy hiểm và có cách chăm sóc răng miệng tốt hơn.
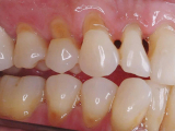
MÒN CỔ CHÂN RĂNG: NGUYÊN NHÂN VÀ CÁCH KHẮC PHỤC
Mòn cổ răng là những tổn thương tổ chức cứng của răng, không do sâu. Đặc trưng bởi sự mất chất khu trú ở khu vực cổ răng, mặt ngoài, sát với lợi.
RĂNG LUNG LAY: NGUYÊN NHÂN VÀ CÁCH KHẮC PHỤC
Răng lung lay là tình trạng không nên chủ quan vì có thể cảnh báo các vấn đề răng miệng nghiêm trọng. Khi răng lung lay làm sao để chắc lại bạn có biết không? Cùng tham khảo bài viết sau để cập nhật thêm nhiều thông tin bổ ích nhé!
LỢI ÍCH CỦA VIỆC LẤY CAO RĂNG
Không chỉ gây mất thẩm mỹ, vôi răng (cao răng) còn là nơi cư ngụ của nhiều loại vi khuẩn gây hại cho răng miệng. Do đó, lấy vôi răng theo định kỳ 3-6 tháng/lần là giải pháp giúp loại bỏ hoàn toàn cặn vụn lắng đọng, mảng bám đã bị vôi hóa ở thân răng, nướu răng.
HÀM KHUNG THÁO LẮP LÀ GÌ ?
Hàm khung tháo lắp là giải pháp được nhiều người lựa chọn để phục hình răng mất bởi tính nhanh chóng và mức chi phí phải chăng. Vậy hàm khung tháo lắp là gì? Hãy cùng nha khoa TULIP tìm hiểu qua bài viết dưới đây
CÁCH CHĂM SÓC RĂNG MIỆNG SAU KHI BỌC RĂNG SỨ
Sau khi bọc sứ nếu không chăm sóc răng miệng đúng cách, có thể khiến bạn dễ mắc phải một số các bệnh lý như: viêm nha chu, viêm nướu, viêm tủy răng, Để hàm răng luôn được đều đẹp và chắc khỏe thì bạn cũng cần nắm được một số cách chăm sóc răng sứ sau khi bọc.
PHẢI LÀM GÌ KHI RĂNG SỨ BỊ LUNG LAY?
Răng bọc sứ bị lung lay có thể xuất phát từ dấu hiệu của các bệnh lý về viêm nha chu hoặc tủy răng nên bạn cần chú ý trước khi phục hình.
CÓ NÊN TRÁM RĂNG SỮA CHO BÉ HAY KHÔNG?
Trám răng sữa cho bé là vấn đề được rất nhiều bậc phụ huynh quan tâm. Kỹ thuật trám răng cho trẻ có nên được tiến hành không và cần lưu ý những vấn đề gì?
RĂNG KHÔN ĐANG BỊ ĐAU CÓ NÊN NHỔ KHÔNG?
Răng khôn gây đau nhức là vấn đề mà hầu hết ai cũng phải trải qua gây ảnh hưởng nhiều đến sinh hoạt hằng ngày của bạn, vậy có nên nhổ răng khôn khi đang bị đau không? Hãy cùng Nha khoa Tulip tìm hiểu thông qua bài viết dưới đây
BỌC RĂNG SỨ CẦN LƯU Ý NHỮNG GÌ?
Bọc răng sứ là phương pháp phục hình nha khoa được nhiều người sử dụng vì tính hiệu quả của nó khắc phục khiếm khuyết hàm răng. Vậy trước và sau khi bọc răng sứ cần lưu ý những gì để giúp giữ gìn răng sứ bền đẹp và duy trì lâu dài








