LẮP RĂNG SỨ BỊ KÊNH PHẢI XỬ LÝ NHƯ THẾ NÀO?
Không ít trường hợp sau khi lắp răng sứ bị kênh, cộm gây ra nhiều phiền toái cho người sử dụng. Đặc biệt là trong quá trình ăn uống dễ gây đau nhức, khó chịu. Nếu kéo dài không xử lý có thể dẫn đến những nguy hại cho sức khỏe răng miệng.
3 MỨC ĐỘ SÂU VÀ CÁCH XỬ LÝ BỆNH SÂU RĂNG
Sâu răng là bệnh lý răng miệng phổ biến mà độ tuổi nào cũng có thể gặp phải. Nếu không được phát hiện và xử lý kịp thời, vi khuẩn sẽ phá huỷ cấu trúc của răng và dẫn đến một số bệnh nha chu khác. Hãy cùng Tulip tìm hiểu các mức độ răng và cách xử lý bệnh lý răng miệng thường gặp này nhé
RĂNG NHIỄM FLOUR LÀ GÌ? NGUYÊN NHÂN VÀ CÁCH KHẮC PHỤC
Để bảo vệ hàm răng chắc khỏe hơn, fluor là dưỡng chất không thể thiếu, tuy nhiên, việc cơ thể hấp thụ dư fluor lại hoàn toàn không tốt cho răng, ảnh hưởng lớn đến độ thẩm mỹ của răng. Đâu là nguyên nhân khiến răng nhiễm màu fluor? Làm sao để phòng tránh và khắc phục tình trạng này? Bạn hãy tìm đáp án trong bài chia sẻ dưới đây nhé!
BÍ QUYẾT CHĂM SÓC RĂNG MIỆNG ĐÚNG CÁCH TẠI NHÀ
Chăm sóc răng miệng là việc làm vô cùng cần thiết với mỗi người. Tuy nhiên, không ít người vẫn chưa biết cách thực hiện sao cho đúng cách dẫn đến những hậu quả khôn lường. Bài viết hôm nay, Nha khoa Tulip sẽ chia sẻ những bí quyết chăm sóc răng, miệng, nướu đúng cách, kĩ càng giúp bạn có một sức khỏe toàn diện. Hãy cùng chúng mình đi tìm hiểu ngay nhé!
VIÊM NƯỚU RĂNG
Viêm nướu răng là giai đoạn khởi phát của bệnh viêm nha chu. Nếu không điều trị viêm nướu và để kéo dài có thể dẫn tới bệnh viêm chân răng hay viêm nha chu để lại nhiều biến chứng nguy hiểm đến sức khỏe răng miệng.
3 LƯU Ý SAU KHI BỌC RĂNG SỨ
Bọc răng sứ là một phương pháp thẩm mỹ răng rất được ưa chuộng hiện nay. Bên cạnh việc tập trung vào tay nghề bác sĩ, uy tín của nha khoa thì chế độ chăm sóc sau khi bọc răng sứ là rất quan trọng. Ở bài viết này Nha khoa Tulip sẽ giới thiệu đến các bạn 3 lưu ý sau khi bọc răng sứ.
RĂNG BỊ GÃY NGANG THÌ PHẢI LÀM SAO?
Trường hợp răng bị gãy ngang hiện nay không phải là trường hợp hiếm thấy làm cho nhiều người cảm thấy e ngại, mất tự tin khi giao tiếp. Vậy răng bị gãy ngang phải làm sao? Hãy cùng Nha khoa Tulip giải đáp ngay sau đây
CẠO VÔI RĂNG BAO LÂU THÌ ĂN ĐƯỢC?
Cạo vôi răng là cách chăm sóc răng miệng mà bạn nên thực hiện định kỳ mỗi 6 tháng/lần, vậy cạo vôi răng bao lâu thì ăn được? đây là vấn đề mà nhiều khách hàng thắc mắc. Để giải đáp câu hỏi này, bạn hãy cùng theo dõi bài viết dưới đây nhé.
TẨY TRẮNG RĂNG CÓ LÀM RĂNG YẾU ĐI KHÔNG?
Tẩy trắng răng là phương pháp dùng thuốc tẩy trắng kết hợp với ánh sáng đèn laser hiện đại để loại bỏ các sắc tố gây vàng răng giúp răng trắng sáng, tuy nhiên tẩy trắng răng có làm răng yếu đi không?. Bài viết dưới đây của Nha Khoa Tulip sẽ giải đáp cho bạn vấn đề trên.
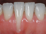
TỤT LỢI CÓ TỰ KHỎI HAY KHÔNG?
Tụt lợi làm chân răng lộ ra ngoài gây mất thẩm mỹ, làm răng bị ê buốt, khó chịu ảnh hưởng đến chất lượng cuộc sống. Vậy tụt lợi có tự khỏi không? Khi bị tụt lợi phải làm sao?. Các câu hỏi này sẽ được giải đáp ngay ở bài viết dưới đây.








