RĂNG SÂU NẶNG CÓ BỌC SỨ ĐƯỢC KHÔNG ?
Sâu răng là bệnh lý răng miệng phổ biến, không chỉ gây đau đớn, ảnh hưởng đến chức năng ăn, nhai mà sâu răng còn gây mất thẩm mỹ cho người bệnh.
CẠO VÔI RĂNG THƯỜNG XUYÊN CÓ NÊN HAY KHÔNG ?
Cạo vôi răng thường xuyên tốt hay không? Cạo vôi răng thường xuyên có làm mòn men răng, tụt nướu chân răng hay không?
QUY TRÌNH TRÁM RĂNG LẤY TỦY DIỄN RA NHƯ THẾ NÀO?
Trám răng lấy tủy là một trong những phương pháp điều trị sâu răng, viêm tủy, giúp bảo tồn răng thật được lâu dài. Tuy nhiên, không phải ai cũng nắm rõ về phương pháp này, sẽ có những ưu điểm và nhược điểm mà bạn nên biết khi thực hiện.
TRÁM RĂNG INLAY,ONLAY LÀ GÌ?CÓ NÊN TRÁM RĂNG INLAY,ONLAY KHÔNG?
Sâu răng là một trong những tình trạng răng miệng phổ biến nhất hiện nay. Ai trong số chúng ta cũng đã và đang có một hoặc vài chiếc răng bị sâu. Nguyên nhân chủ yếu là do không chăm sóc răng miệng thường xuyên, khiến mảnh vụn thức ăn tích tụ thành mảng bám và tạo điều kiện vi khuẩn phát triển.
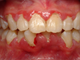
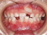
LÀM CÁCH NÀO ĐỂ NHẬN BIẾT TRẺ MỌC THIẾU RĂNG?
Mọc thiếu răng là bất thường về răng hàm mặt phổ biến nhất ở người. Mọc thiếu răng có thể là triệu chứng của một bệnh lý di truyền hoặc là triệu chứng đơn lẻ. Hiện tượng trẻ mọc thiếu răng sữa cần được phát hiện sớm nhằm đưa ra những can thiệp kịp thời, tránh các hệ quả không tốt đối với sức khỏe răng miệng sau này.
CHỮA HÔI MIỆNG HIỆU QUẢ BẰNG LÁ MÙI TÀU
Lá mùi tàu hay còn gọi là ngò gai, là 1 loại gia vị không thể thiếu trong bữa ăn hằng ngày. Hầu hết các món canh, bún, phở đều được nêm thêm ít ngò để nước dùng thơm mát. Như vậy cũng đủ biết rằng loại lá này có tinh dầu thơm đặc biệt và chứa rất nhiều vitamin tốt cho sức khỏe con người.
CHĂM SÓC SỨC KHOẺ RĂNG MIỆNG ĐÚNG CÁCH
Sức khỏe răng miệng phản ánh các tình trạng của răng, nướu và khoang miệng. Chăm sóc sức khỏe răng miệng đúng cách sẽ ngăn ngừa các bệnh về nướu, giúp bảo vệ sức khoẻ và mang lại sự tự tin.
NHỮNG BIỂU HIỆN MÀ BẠN CÓ THỂ GẶP PHẢI SAU KHI BỌC RĂNG SỨ
Khi bạn thực hiện bất kỳ một tác động nào lên hàm răng thì cũng sẽ để lại cảm giác nhất định, bọc răng sứ cũng không ngoại lệ. Việc biết chính xác cảm giác sau khi bọc răng sứ sẽ giúp bạn phân biệt được đâu là biểu hiện bất thường, đâu là bình thường để có thể có những giải pháp khắc phục kịp thời.
BỊ BỆNH TIỂU ĐƯỜNG CÓ NÊN TRỒNG RĂNG IMPLANT KHÔNG?
Tiểu đường nên trồng răng Implant không? là câu hỏi của nhiều bạn đọc khi có người thân đang có bệnh lý nhưng muốn cấy ghép Implant. Người bị bệnh tiểu đường là bệnh lý nằm trong nhóm chống chỉ định trong cấy ghép Implant. Bởi đây là một dạng điều trị phẫu thuật có tạo vết thương. Để vết thương mau lành thì lượng máu lưu chuyển đến cần ổn định. Kính mời bạn đọc tìm hiểu thêm qua bài viết dưới đây.
THÓI QUEN MÚT NGÓN TAY VÀ BÚ BÌNH CỦA TRẺ CÓ ẢNH HƯỞNG ĐẾN RĂNG VÀ XƯƠNG HÀM KHÔNG?
Bú bình hay mút ngón tay là những hành động có thể gặp ở hầu hết trẻ sơ sinh và trẻ nhỏ. Nhưng hành động này lại khiến nhiều cha mẹ lo lắng và đặt câu hỏi rằng trẻ có thói quen mút tay bú bình có ảnh hưởng đến răng, xương hàm và nụ cười của trẻ không? Hãy cùng Tulip tìm hiểu trong bài viết này nhé!








